ترنج موبایل
کد خبر: ۷۷۴۱۹۰

چه زمانی به پزشک مراجعه کنیم؟

درمان‌های خانگی برای آفت دهان

درمان‌های خانگی برای آفت دهان

اکثر آفت‌ها در عرض چند هفته خود به خود بهبود می‌یابند. استفاده از چندین درمان خانگی و یا محصولات بدون نسخه (OTC) می‌تواند به تسریع روند بهبودی کمک کند، اما آن‌ها یک درمان جادویی نیستند؛ چرا که بعید است که یک روش درمانی، یک شبه آفت دهان را درمان کند.

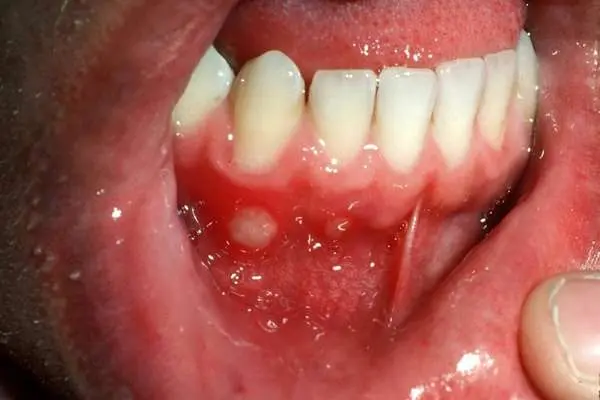
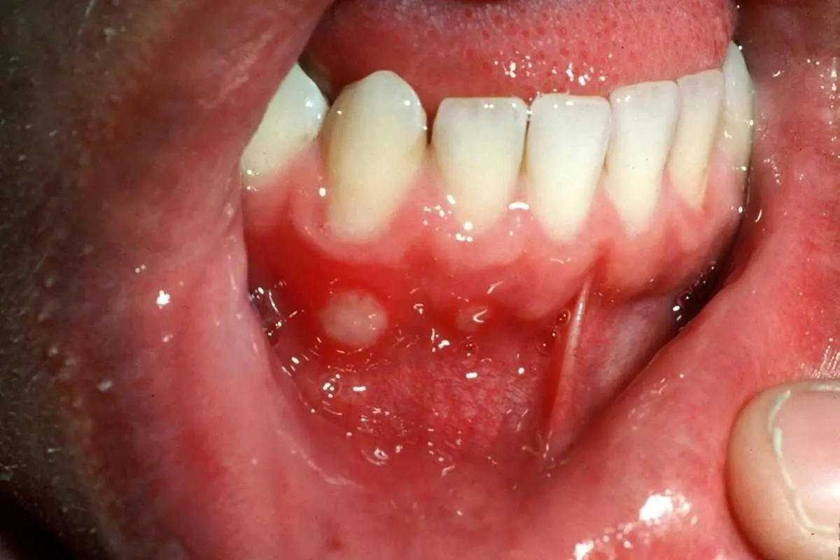
آفت در داخل دهان یا روی لثه‌ها ایجاد می‌شود. اگرچه آن‌ها می‌توانند دردناک باشند و صحبت کردن یا خوردن و آشامیدن را مشکل سازند، اما معمولاً آسیب پایدار و ثابتی ایجاد نمی‌کنند.

به گزارش سلامت نیوز، اکثر آفت‌ها در عرض چند هفته خود به خود بهبود می‌یابند. استفاده از چندین درمان خانگی و یا محصولات بدون نسخه (OTC) می‌تواند به تسریع روند بهبودی کمک کند، اما آن‌ها یک درمان جادویی نیستند؛ چرا که بعید است که یک روش درمانی، یک شبه آفت دهان را درمان کند.

استفاده از دهانشویه برای درمان آفت دهان

یک دهانشویه معمولی حاوی کلرهگزیدین از گسترش میکروب‌ها و بدتر شدن زخم جلوگیری کرده و همچنین می‌تواند به جلوگیری از التهاب بیشتر کمک کند. با این حال، باید از مصرف دهانشویه حاوی الکل خودداری کنید، زیرا می‌تواند زخم را تحریک و در نتیجه شرایط را بدتر کند.

شما می‌توانید دهانشوی بدون نسخه را که برای زخم‌های دهان در نظر گرفته شده است، بیابید که حاوی مقادیری لیدوکائین است، ماده‌ای که می‌تواند به کاهش درد آفت کمک کند. همچنین ممکن است پزشک برای شما یک دهانشویه تجویزی حاوی دگزامتازون یا لیدوکائین تجویز کند.

درمان‌های خانگی برای آفت دهان

علاوه بر دهانشویه‌ها و محصولات بدون نسخه و نسخه‌ای، آفت‌های دهان را می‌توان با درمان‌های خانگی مختلف نیز درمان کرد:

پودر زاج برای آفت دهان

پودر آلوم یا پودر زاج سفید از سولفات آلومینیوم پتاسیم ساخته شده است. اغلب برای نگهداری غذا و ترشی سبزیجات استفاده می‌شود. زاج دارای خواص قابض است که ممکن است به کوچک کردن بافت‌ها کمک کرده و زخم‌های شانکر را خشک کند.

روش استفاده از پودر زاج

با مخلوط کردن مقدار کمی پودر زاج با یک قطره آب خمیر درست کنید.

خمیر را روی زخم شانکر بگذارید

حداقل ۱ دقیقه بگذارید بماند.

دهان خود را کاملا بشویید.

این کار را هر روز تکرار کنید تا زمانی که آفت شما از بین برود.

آب نمک برای درمان آفت دهان

شستشوی دهان با آب نمک یک درمان خانگی است، اگرچه دردناک است، اما برای هر نوع زخم دهان استفاده می‌شود و ممکن است به خشک شدن آفت نیز کمک کند.

استفاده از آب نمک برای درمان آفت دهان

۱ قاشق چایخوری نمک را در ۲/۱ فنجان آب گرم حل کنید.

این محلول را به مدت ۱۵ تا ۳۰ ثانیه در دهان خود بچرخانید، سپس آن را تف کنید.

در صورت نیاز هر چند ساعت یکبار تکرار کنید.

جوش شیرین برای درمان آفت دهان

گمان می‌شود که جوش شیرین تعادل pH را بازیابی می‌کند و التهاب را کاهش می‌دهد که ممکن است به بهبود زخم‌های شانکر کمک کند.

روش استفاده از جوش شیرین برای درمان آفت دهان

۱ قاشق چایخوری جوش شیرین را در۱/۲ فنجان آب حل کنید

این محلول را به مدت ۱۵ تا ۳۰ ثانیه در دهان خود بچرخانید، سپس آن را تف کنید.

در صورت نیاز هر چند ساعت یکبار تکرار کنید.

جوش شیرین را اگر قورت دهید به شما آسیبی نمی‌رساند، اما فوق العاده شور است، بنابراین سعی کنید از این کار خودداری کنید.

ماست برای درمان آفت دهان

علت دقیق آفت ناشناخته است. برخی ممکن است توسط باکتری هلیکوباکتر (H. pylori) یا بیماری التهابی روده ایجاد شوند. یک مطالعه در سال ۲۰۲۰ روی موش‌ها نشان داد که کشت‌های زنده پروبیوتیک مانند لاکتوباسیلوس ممکن است به ریشه کنی هلیکوباکتر پیلوری کمک کند. از نظر تئوری، اگر هر یک از این شرایط باعث ایجاد زخم‌های شانکر شما شده باشد، خوردن ماست حاوی پروبیوتیک ممکن است به بهبود شرایط شما کمک کند. برای کمک به پیشگیری یا درمان آفت دهان، حداقل ۱ فنجان ماست در روز بخورید.

مصرف عسل برای درمان آفت دهان

عسل به دلیل توانایی‌های ضد باکتری و ضد التهابی خود شناخته شده است. با توجه به مطالعه انجام شده در سال ۲۰۱۴ عسل در کاهش درد، اندازه و قرمزی زخم شانکر موثر بوده است. همچنین ممکن است به جلوگیری از عفونت ثانویه کمک کند.

برای استفاده از عسل برای درمان آفت دهان، روزی چهار بار عسل را روی زخم بمالید. همه عسل‌ها یکسان ساخته نمی‌شوند. بیشتر عسل‌هایی که در فروشگاه‌های مواد غذایی یافت می‌شوند، در حرارت بالا پاستوریزه می‌شوند که اکثر مواد مغذی را از بین می‌برد. عسل غیر پاستوریزه و فیلتر نشده مانند عسل مانوکا کمتر فرآوری شده و در نتیجه خواص درمانی خود را حفظ می‌کند.

روغن نارگیل برای درمان آفت دهان

پژوهش‌ها نشان داده است که روغن نارگیل به دلیل داشتن اسید اوریک بالا دارای خواص ضد میکروبی است و ممکن است به درمان زخم‌های ناشی از باکتری‌ها کمک کند و از گسترش آن‌ها جلوگیری کند. روغن نارگیل همچنین خاصیت ضد التهابی طبیعی دارد و ممکن است به کاهش قرمزی و درد کمک می‌کند. برای استفاده، روغن نارگیل را روی زخم بمالید. چندین بار در روز از آن استفاده کنید تا زمانی که آفت شما از بین برود.

پراکسید هیدروژن برای درمان آفت دهان

پراکسید هیدروژن با تمیز کردن زخم و کاهش باکتری‌ها در دهان شما به بهبود وضع زخم کمک می‌کند

روش مصرف پراکسید هیدروژن برای درمان آفت دهان

محلول ۳ درصد پراکسید هیدروژن را با مقدار مساوی آب رقیق کنید.

یک تکه پنبه یا سواب پنبه‌ای را به مخلوط آغشته کنید.

مخلوط را مستقیماً چند بار در روز روی زخم خود بمالید.

همچنین می‌توانید از پراکسید هیدروژن رقیق شده به عنوان دهانشویه استفاده کنید و آن را برای حدود یک دقیقه دور دهان خود بچرخانید و سپس تف کنید.

شیر منیزیم برای درمان آفت دهان

شیر منیزیم حاوی هیدروکسید منیزیم بوده که خنثی کننده اسید و ملین است. هنگامی که به صورت خوراکی استفاده می‌شود، ممکن است PH دهان شما را تغییر دهد تا زخم نتواند رشد کند. همچنین برای جلوگیری از تحریک و تسکین درد، زخم را می‌پوشاند.

روش مصرف شیر منیزی برای درمان آفت دهان

مقدار کمی شیر منیزیم را روی آفت خود بمالید.

بگذارید چند ثانیه بماند و سپس دهان خود را بشویید

تا سه بار در روز این کار را تکرار کنید.

کمپرس بابونه برای درمان آفت دهان

بابونه به عنوان یک درمان طبیعی برای التیام زخم‌ها و تسکین درد استفاده می‌شود. بابونه حاوی دو ترکیب با توانایی ضد التهابی و ضد عفونی کننده است:

آزولن

لوومنول

یک چای کیسه‌ای بابونه می‌تواند نقش کمپرس برای تسکین زخم‌ها را ایفا کند.

روش مصرف کمپرس بابونه برای درمان آفت دهان

برای استفاده، یک کیسه چای بابونه مرطوب را روی آفت دهان خود بمالید و بگذارید چند دقیقه روی آن بماند. قبل از استفاده از چای کیسه‌ای مطمئن شوید که خیلی داغ نباشد. همچنین می‌توانید دهان خود را با چای بابونه تازه دم بشویید. درمان را سه تا چهار بار در روز تکرار کنید.

اکیناسه برای درمان آفت دهان

اکیناسه خاصیت ترمیم زخم و تقویت سیستم ایمنی را برعهده دارد، همچنین ممکن است زخم‌های شانکر را التیام ببخشد یا از ایجاد آن‌ها جلوگیری کند.

روش مصرف اکیناسه برای درمان آفت دهان

حدود ۱ قاشق چایخوری از اکیناسه مایع به مقدار مساوی آب گرم اضافه کنید.

محلول را حدود ۲ دقیقه دور دهان خود بچرخانید.

مخلوط را تف کنید یا قورت دهید.

شستشوی دهان با چای اکیناسه نیز ممکن است مفید باشد. هر دو درمان را تا سه بار در روز تکرار کنید.

مریم گلی برای درمان آفت دهان

چای مریم گلی به طور سنتی برای درمان آفت دهان استفاده می‌شود. دهانشویه مریم گلی به عنوان یک دهان شویه عمومی برای بسیاری از مشکلات دهان عمل می‌کند. دارای خواص ضد باکتری، ضد التهابی، ضد عفونی کننده است؛ همچنین ممکن است به تسکین درد کمک کند. دهانشویه مریم گلی را می‌توانید در اکثر داروخانه‌ها پیدا کنید و طبق دستور از آن استفاده کنید. یا می‌توانید دهانشویه‌ی مریم گلی خود را بسازید:

از برگ‌های مریم گلی تازه به اندازه‌ی یک تا دو قاشق چایخوری در ظرف ریخته و به آن آب جوش اضافه کنید.

حداقل ۵ دقیقه دم کنید.

صاف کنید و اجازه دهید محلول خنک شود.

دهانشویه را برای چند دقیقه دور دهان خود بچرخانید.

مایع را قورت دهید یا تف کنید.

سرکه سیب برای درمان آفت دهان

سرکه سیب به عنوان یک درمان برای تقریباً همه چیز، از جمله زخم‌های شانکر، شناخته شده است. تصور می‌شود که اسید موجود در سرکه سیب به از بین بردن باکتری‌ها که زخم را تحریک میکنند، کمک می‌کند؛ با این حال، این درمان بحث برانگیز است، زیرا غذا‌های اسیدی می‌توانند باعث ایجاد یا بدتر شدن آفت در برخی افراد شوند. با احتیاط از آن استفاده کنید.

روش مصرف دهانشویه سرکه سیب برای درمان آفت دهان

۱ قاشق چایخوری سرکه سیب را با ۱ فنجان آب ترکیب کنید.

این مخلوط را به مدت ۳۰ ثانیه تا ۱ دقیقه در اطراف دهان خود بچرخانید.

آن را تف کنید و دهان خود را کاملا بشویید.

روزانه تا زمان بهبود کامل زخم این کار را تکرار کنید.

پاستیل روی برای درمان آفت دهان

اگر سیستم ایمنی بدن شما ضعیف باشد، زخم‌های شانکر ممکن است رشد کنند. روی یک ماده معدنی است که سیستم ایمنی شما را تقویت می‌کند. مصرف قرص‌های روی ممکن است به شما کمک کند با باکتری‌هایی که باعث ایجاد آفت می‌شوند، مبارزه کنید. همچنین در صورت داشتن زخم ممکن است زمان بهبودی را تسریع کند.

مکمل ویتامین B-Complex برای درمان آفت دهان

اگر رژیم غذایی شما دارای ویتامین b ۱۲ پایین باشد، ممکن است بیشتر دچار آفت دهان شوید؛ با این حال، دقیقاً مشخص نیست که ویتامین B ۱۲ چگونه زخم‌های شانکر را درمان می‌کند. بر اساس مطالعه‌ای در سال ۲۰۰۹، شرکت‌کنندگانی که روزانه ۱۰۰۰ میکروگرم ویتامین B ۱۲ مصرف می‌کردند، نسبت به دیگران، زخم‌های شانکر کمتری داشتند. مکمل ویتامین B کمپلکس حاوی هر هشت ویتامین B از جمله B ۱۲ است. مکمل‌های ویتامین B کمپلکس ممکن است عوارض جانبی ایجاد کنند، بنابراین قبل از مصرف با پزشک مشورت کنید.

چه زمانی لازم است به پزشک مراجعه کنید؟

بیشتر آفت‌ها دلیلی برای نگرانی نیستند. آن‌ها به ندرت عوارض جانبی ثابتی دارند. با این حال، در برخی موارد نیاز است تا به پزشک مراجعه کنید. در صورت تجربه هر یک از موارد زیر با پزشک صحبت کنید:

اندازه زخم بیشتر از ۱-۳ سانتی متر است.

زخم‌های متعددی دارید.

زخم‌های جدید قبل از بهبود زخم‌های قدیمی ایجاد می‌شوند.

زخم بعد از ۲ هفته خوب نمی‌شود.

زخم به لب‌های شما سرایت می‌کند.

زخم باعث درد شدید می‌شود.

زخم خوردن یا نوشیدن را غیرقابل تحمل می‌کند.

تب دارید.

اگر زخم شانکر شما ناشی از دندان ناهموار یا تیز باشد، باید با دندانپزشک تماس بگیرید.

ارسال نظرات
خط داغ