ترنج موبایل
کد خبر: ۷۸۵۹۶۳

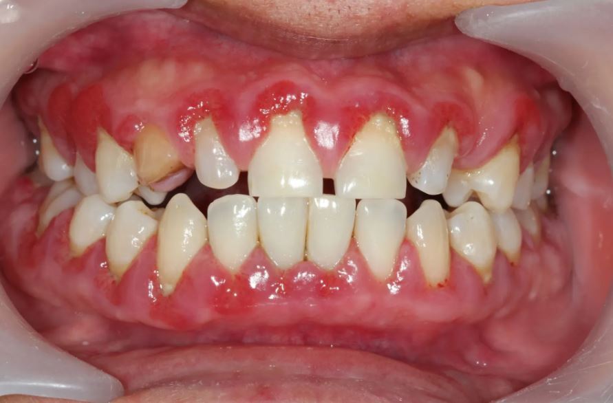
چه عواملی باعث ایجاد بیماری لثه می‌شوند؟

چه عواملی باعث ایجاد بیماری لثه می‌شوند؟

رئیس بیست و سومین کنگره بین‌المللی انجمن پریودنتولوژی از شیوع بیماری‌های لثه از ۳۵ تا ۴۰ سالگی خبر داد.

رئیس بیست و سومین کنگره بین‌المللی انجمن پریودنتولوژی ایران با بیان اینکه بیماری‌های لثه بعد از پوسیدگی دندانی شایع‌ترین بیماری است که در محیط دهان و دندان اتفاق می‌افتد، گفت: این بیماری در اکثر موارد در سنین بالاتر از ۳۵ تا ۴۰ سالگی اتفاق می‌افتد، اما می‌تواند در افراد جوان، حتی در بچه‌ها هم وجود داشته باشد.

به گزارش ایرنا، نسرین اصفهانی زاده روز شنبه افزود: این بیماری به جز در موارد خاص که زمینه ژنتیکی و ارثی دارد قابل پیشگیری است و می‌توان با روش‌های مختلف پیشگیری از ایجاد آن جلوگیری و به درمان آن کمک کرد.

وی، مهمترین علت بیماری‌های لثه را تجمع پلاک میکروبی در اطراف دندان به علت عدم رعایت صحیح مسواک زدن و نخ دندان عنوان کرد و اظهار داشت: عدم استفاده صحیح از روش‌های بهداشتی دهان و دندان که باعث تجمع پلاک میکروبی در اطراف دندان‌ها و لثه مجاور آنها می‌شود می‌تواند باعث التهاب لثه، خونریزی، بوی بد دهان، تشکیل پاکت‌های عفونی در اطراف دندان، تحلیل استخوان و در نهایت باعث لقی دندان، بد شکلی ظاهری دهان و از دست رفتن دندان‌ها شود.

استاد تمام بخش بیماری‌های لثه و سرپرست دوره فلوشیپ ایمپلنت دانشگاه آزاد اسلامی ادامه داد: مهمترین مشکلی که به واسطه بیماری‌های لثه می‌توان به آن اشاره کرد از دست رفتن دندان‌ها است که عملا از لحاظ جسمی و روحی- روانی زندگی شخصی و اجتماعی فرد را تحت تاثیر قرار می‌دهد.

به گفته اصفهانی زاده، در سالیان اخیر وارد شدن ایمپلنت‌های دندانی به رشته دندانپزشکی تحول بزرگی در جایگزین کردن دندان‌های از دست رفته و بی دندانی ایجاد کرده و به این ترتیب می‌توان ظاهری زیبا و جویدن درست را به بیمار هدیه داد و از این طریق سلامت جسمی و روحی بیمار را فراهم کرد.

چه عواملی باعث ایجاد بیماری لثه می‌شوند؟

وی تصریح کرد: ارتباط بیماری لثه با بیماری‌های سیستمیک مثل بیماری‌های قلب و عروق، ریوی، سکته مغزی و بخصوص بیماری شایع دیابت ثابت شده است و از طریق درمان عفونت‌های لثه و بافت‌های اطراف آن می‌توان از بروزاین بیماری‌ها جلوگیری کرده و حتی به کنترل دیابت و قند بیمار کمک کنیم.

این متخصص و جراح بیماری‌های لثه، با اشاره به برگزاری بیست و سومین کنگره بین المللی انجمن پریودنتولوژی ایران از ۲۴ تا ۲۷ مهرماه در هتل المپیک اظهار داشت: هدف از برگزاری این کنگره بین المللی آشنا کردن همکاران متخصص، دندانپزشکان عمومی، دستیاران و دانشجویان با روش‌های جدید جراحی لثه و پریودنتال، تکنیک‌های درست جایگذاری ایمپلنت، بازسازی استخوان، روش‌های درمان تحلیل لثه، کاربرد لیزر و روش‌های دیجیتال در جایگذاری ایمپلنت است.

اصفهانی زاده ادامه داد: این کنگره دارای ۲۰ امتیاز بازآموزی است و بیش از ۵۰ سخنرانی به همراه کارگاه‌های عملی و جراحی‌های زنده مختلف است. همچنین در کنار این کنگره نمایشگاهی با جدیدترین محصولات، وسایل و مواد جدید در رشته دندانپزشکی، پریودنتولوژی و ایمپلنت دندانی جهت ارائه به پزشکان برگزار می‌شود.

وی در پایان گفت: از تمام متخصصین، دندانپزشکان عمومی و داشجویان دعوت می‌کنیم با شرکت در این کنگره و استفاده از مطالب علمی آموزنده و کارگاه‌های عملی و جراحی‌های زنده‌ای که در این کنگره ارائه می‌شود با روش‌های درمانی صحیح و تکنیک‌های جدید متخصص بیماری‌های دهان و دندان مطرح کرد.

ارسال نظرات
خط داغ