ترنج موبایل
تبلیغات
کد خبر: ۷۶۶۶۷۹

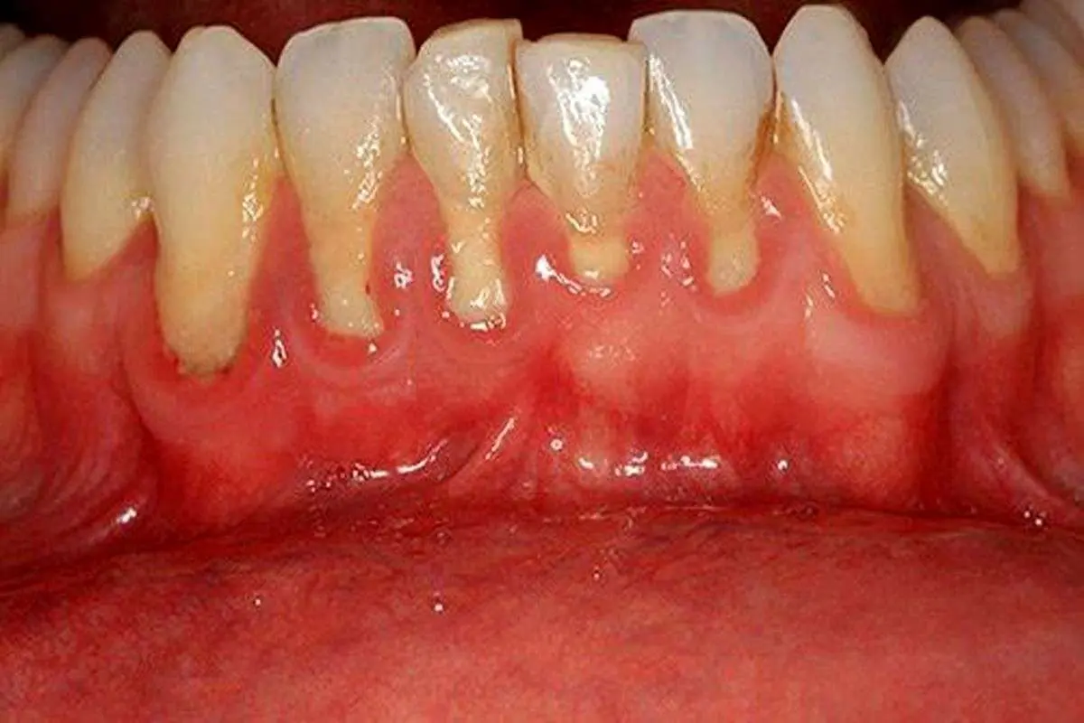
(ویدئو) راهکار مقابله با عفونت لثه

(ویدئو) راهکار مقابله با عفونت لثه

عفونت لثه می‌تواند دلایل متعددی داشته باشد، اما می‌توان با روش‌های مختلف آن را رفع کرد. حسین خیراندیش، متخصص طب سنتی به بیماری‌ها و مشکلات لثه پرداخت و پیشنهاد داد برای رفع سستی و عفونت لثه از نمک و عسل استفاده شود.

تبلیغات
تبلیغات
حجم فایل ویدیویی : ۱.۰۱M مدت زمان فایل ویدیویی : ۰۰:۰۰:۳۳ دانلود فایل
تبلیغات
تبلیغات
ارسال نظرات
تبلیغات
تبلیغات
خط داغ
تبلیغات
تبلیغات