ترنج موبایل
کد خبر: ۷۷۵۸۸۱

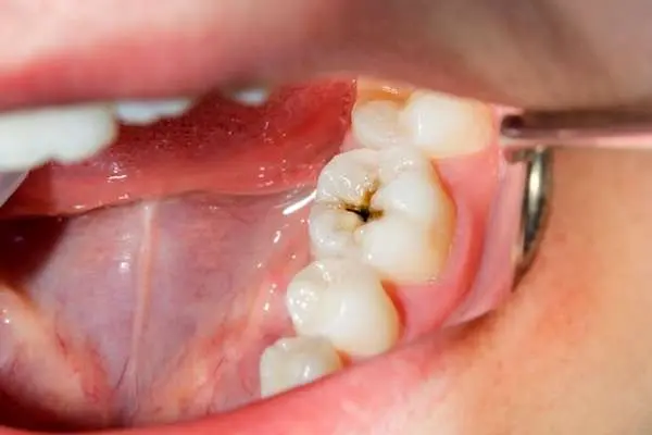
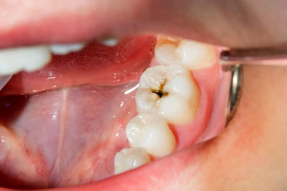
نوشیدنی‌ای که دندان سالم برای‌تان نمی‌گذارد

نوشیدنی‌ای که دندان سالم برای‌تان نمی‌گذارد

به عقیده یک متخصص دندانپزشک انگلیسی نوشیدنی‌های دارای اسیدیته بالا می‌تواند بیشتر از چای و قهوه بر دندان‌ها آسیب وارد کند.

نوشیدن چای و قهوه بر سلامت دندان‌ها تاثیر منفی دارد، ولی به عقیده یک متخصص دندانپزشک انگلیسی نوشیدنی‌های دارای اسیدیته بالا می‌تواند بیشتر از چای و قهوه بر دندان‌ها آسیب وارد کند.

به گزارش اطلاعات آنلاین، دکتر خالد قاسم، متخصص دندانپزشکی و عضو موسسه Impress UK، نوشیدن آب لیموی معمولی ضرر بیشتری دارد، چون محیط اسیدی دهان را بالا می‌برد و به پوسیدگی دندان‌ها کمک می‌کند.

به طور حتم آب لیمو و دیگر نوشیدنی‌های اسیدی برای سلامتی بدن مفید هستند، ولی باید از دندان‌ها در مقابل آن‌ها محافظت کرد. دکتر قاسم می‌گوید آب لیمو منبع عالی ویتامین C نمی‌تواند از رژیم غذایی حذف شود، ولی باید در نوشیدن آن احتیاط کرد و حتی بهتر است برای نوشیدن، از نی استفاده کرد. آب لیمو برای پوست و سایر اندام‌های بدن مفید است، ولی برای دندان گزینه مناسبی نیست و بهتر است مینای دندان‌ها را از اسید‌ها محافظت کنید.

ارسال نظرات
خط داغ